Lymphome hodgkinien

Cliquer sur le bouton ci-contre pour imprimer cette page, sinon utiliser la commande 'Imprimer' ou 'Print' de votre navigateur


Exemple de tumeur maligne dérivée du tissu lymphoïde

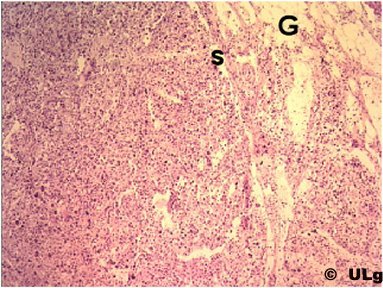
Faible grossissement:

Tissu pathologique: tumeur modérément cellulaire qui se développe au niveau d’un ganglion lymphatique dont l’architecture a disparu et qui envahit la graisse péri-ganglionnaire (G). Le sinus (S) marginal du ganglion lymphatique est encore reconnaissable par endroits. Présence de cellules de grande taille déjà visibles au faible grossissement

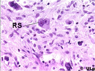
Fort grossissement:

Tissu pathologique: présence de grandes cellules, au noyau irrégulier, plissé, habituellement bilobé ou plurilobé, à chromatine irrégulière ponctuée par un ou plusieurs nucléoles acidophiles et centraux correspondant à des cellules de Hodgkin et à des cellules de Reed-Sternberg (noyaux se faisant face "en miroir") (RS). Ces cellules se disposent au sein d’un tissu d’aspect fibreux et se mêlent à de rares lymphocytes d’aspect normal